案例库
案例
素材
搜索
首页
专业领域
中职专业
高职专业
素材类型
通知公告
个人中心
当前位置:首页 > 素材展示
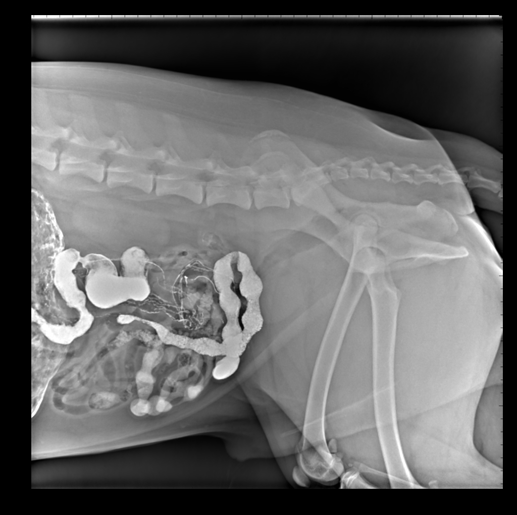
胃肠造影显示回肠盲肠升结肠横结肠侧位片
登录
后再下载,再也不用担心找不到下载过的案例啦!点击了解
积分
!
下载
大小:345 KB
所需积分:
0
收藏
喜欢本文的人还喜欢
种苗工厂化生产教学案例
张家港常阴沙农场以生态旅游带动油菜生产的发展生产案例
鸡新城疫抗体水平检测视频
禽霍乱的实验室诊断技术视频
规范文件:农业类专业生产实际教学案例库建设规范
当前素材信息
0.0
已有0人评价
浏览:28次
下载:0次
格式:jpg
收藏:0次
上传时间:2016-09-10
所属案例信息
农业类部分专业企业生...
适用领域:高等职业教育
相关专业:农林牧渔大类,农业类,...
来源:全国农业职业教育教学指导委员会
相关推荐
设施农业与装备专业企业生产...
木材加工技术专业企业生产实...